西新宿サテライトクリニック 皮膚科、東京医科大学 名誉教授
坪井 良治
皮膚を健康に保つために日々行う皮膚の手入れをスキンケアskin careと呼んでいる。病的な皮膚疾患の発見と治療も重要であるが、日頃から皮膚の状態を常に観察して、わずかな異常、たとえば湿潤状態や乾燥状態を早く見つけ出し、湿疹、びらんなどの病的な状態にならないように、適切なスキンケアを行って、皮膚を健康な状態に保つことが重要である。日本では過剰な清潔志向が強く、また横並び志向もあるので、個人、集団(施設)を問わず、過剰な洗浄と多量の保湿剤が使用される傾向にある。日本の現状において、適切なスキンケアが行われているとは言い難く、また、医療経済からみても無駄が多いと感じている。重要なことは、自分の目で患者(利用者)の皮膚の状態をよく観察し、現在の皮膚の状態を正確に判断した上で、それぞれの皮膚の状態に応じたスキンケアを実施することである。スキンケアは画一的なものであってはならない。この総説では、乾燥皮膚(肌)に焦点を当てて、皮膚の洗浄と保護・保湿について考えてみたい。
ヒトの皮膚は厚さ約0.2mmの表皮により全身が覆われている。その機能は、物理的バリアとなり、水分の喪失を防ぎ、体温を調節し、感染防御や免疫的反応にあたることである1)。表皮の大部分は角化細胞keratinocyteで構成され、図1に示すように基底細胞(層)、有棘細胞(層)、顆粒細胞(層)、角質細胞(層)(角層)からなる。細胞分裂する基底細胞が角化(分化)の過程で核がなくなり(脱核)、角質細胞となって、最終的に垢(アカ)、フケとなって脱落する(turn over)(図1)。角層になるまでに通常は1か月かかるが、乾癬など炎症があると短くなり、魚鱗癬のように長くなると、角層が表面に固着した状態となる。表皮内のランゲルハンス細胞は抗原提示細胞として接触皮膚炎や感染防御に重要な働きをしている1)。
顆粒細胞層にもタイトジャンクションtight junctionと呼ばれる体液の漏出を防ぐ構造があるが、角層の乾燥を防ぐ成分として3種類が知られている(図1)。一つ目は角質細胞に分化する過程でフィラグリンなどが分解されて作られる水溶性の低分子保湿成分である天然保湿因子(natural moisturizing factor; NMF)である。アミノ酸、ピロリドンカルボン酸、乳酸、尿素などが知られ、皮膚表面を弱酸性に保っている。2番目は角質細胞間に存在する脂質であるセラミド、コレステロール、脂肪酸などである。3番目が皮脂腺から分泌されるトリグリセリド、ワックスエステル、遊離脂肪酸、スクワレンなどの皮脂である2,3)。
さらに皮膚を守るために働いているのが、皮膚表面に億単位で存在する常在菌である。表皮ブドウ球菌(Staphylococcus epidermidis)やアクネ菌(Cutibacterium acnes)、コリネバクテリウムCorynebacterium属などの細菌や、マラセチアMalassezia属真菌などが主要菌叢である。上記成分や汗成分を栄養源として繁殖し、時に臭いやニキビの原因となることもあるが、黄色ブドウ球菌などの病原性細菌の繁殖を抑えることで、皮膚の恒常性維持に貢献している4)。
図1 正常皮膚と乾燥皮膚

皮膚表面の水分が失われて乾燥すると、痒みをきたし、掻破により皮脂欠乏性湿疹を誘発する。さらに皮膚表面が粗造になると、黄色ブドウ球菌による伝染性膿痂疹や抗原感作によりアレルギー性接触皮膚炎を起こしやすくなる(図1)。皮膚が乾燥する要因には、年齢による皮脂分泌の低下などの皮膚生理機能の低下、冬季の乾燥や室内空調に伴う低湿度環境、過度の入浴や洗浄剤の使用、こすり洗いなどの不適切なスキンケア、肝腎疾患や消耗性疾患、抗がん剤や放射線治療に伴う場合などがある5)。
したがって、乾燥の原因を取り除く、あるいは乾燥を防ぐスキンケアを実施すれば正常な皮膚の状態を維持できるはずである。しかし、経済の高度成長期を経て、日本では過剰な清潔志向が強くなり、一般に毎日入浴し、毎日洗浄剤を使用して頭髪やからだを洗い、乾燥肌の人は入浴後に保湿剤を塗ることが習慣となってしまった(表1)。大量消費時代の到来である。しかし、立ち止まってよく考えてみると、大部分の人は汚れた環境にはなく、毎日の皮膚洗浄と保湿剤の外用が必要とは思えない。すでに述べたように、ヒトの皮膚は皮脂や保湿成分、常在菌で覆われており、通常は洗浄剤を使わず、シャワーで汗を流すだけで十分であるはずである。皮膚が乾燥していなければ保湿剤は不要である。もし皮膚が乾燥していると判断すれば、保護剤・保湿剤を外用する(表1)。エコロジーecology的な考え方は、ヒトの皮膚の乾燥を防ぐという意味でも理にかなっているし、医療経済の面からも見直されるべきと考えている。現状のスキンケアは、物が豊富で水の使用に制限のない日本だからできることではないだろうか。
2013年に、高齢入院患者の多い多摩・相模原地域の41病院(療養型病棟、精神科病棟を含む)の病棟責任者(主に看護師長)105名に入浴・洗浄に関するアンケートを実施したことがある6)。その結果、入浴・シャワー回数は週2回が55.2%で、次いで週1回が31.4%であった。洗浄剤を毎回使用している施設が93%であった。人手が少なく手が回らないという側面もあるとは思われるが、この現状で病棟責任者から強い不満や不安は出ていない。汗をかきにくい環境の高齢者であれば、週2回程度の入浴・シャワーで、臭いや感染症誘発も含めて問題ないと考えられる。
表1 スキンケアの考え方

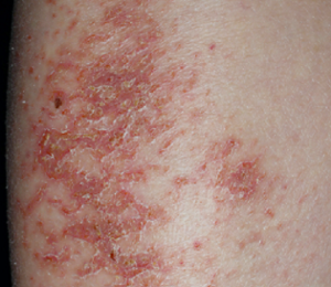
皮膚の乾燥状態である乾皮症(皮脂欠乏症)の臨床症状は皮膚の乾燥、細かい鱗屑、わずかな落屑であり(図2-1)、痒みが強くなると掻破痕が認められる(図2-2)。進行すると紅斑や膜様の大きな鱗屑が認められる(図2-3)。さらに進行すると、さざ波状の紅斑や鱗屑が認められるようになる(図2-4)。図2-3、-4のように紅斑などの炎症所見を伴った場合には皮脂欠乏性湿疹と呼ばれ、ステロイド外用薬などによる治療が必要である。
従来、皮膚の乾燥の評価は、理学的に角層水分含有量、経表皮水分喪失量(transepidermal water loss; TEWL)、皮表脂質量などを測定して比較されてきた5)。最近ではダーモスコピーも使用されている。しかし、いずれの理学的検査も高額な機器が必要で、発汗や油脂の存在、測定環境により大きく影響を受けるので、必ずしも臨床症状に比例しているわけではない。今後、保湿剤・保護剤の効果を判定する際には、皮脂欠乏症診療の手引き5)に記載されているような肉眼的所見をスコア化したスケールを用いて実施されるべきである。
図2 乾燥した皮膚(臨床写真)
洗浄剤の模式図を図3に示した。洗浄剤は炭素数の多い長鎖の脂肪酸塩からできており、水に溶解して泡立てた場合、皮表の油性のよごれを剥ぎ取り、丸めてよごれを除去してくれる。ナトリウム塩は固形石けんに、カリウム塩は液体石けんとなる。固形石けんはよく泡立てて使うこと、液体石けんはよくすすいで皮表に残渣が残らないようにすることがポイントである。アルカリ性洗浄剤が一般的であるが、アミノ酸系の弱酸性の洗浄剤もある7)。乾燥肌に弱酸性の洗浄剤を勧める向きもあるが、洗浄力が劣るので、個人的にはあまり勧めない。乾燥肌の人は極力洗浄剤の使用頻度を少なくした方がよい。しかし、よごれや感染症が発生した場合には、洗浄力の強い洗浄剤でしっかり洗って、原因となる物質を除去することが重要である。
保湿・保護剤の模式図を図3に示した。スキンケアでは英語、日本語で類似の用語が混在していて紛らわしい2,3,8)。モイスチャライザーmoisturizerは水分を皮膚に与えて湿度を保つという意味で保湿剤と同義である。オクルーシブocclusiveは皮膚を覆って保護して乾燥を防ぐ油剤で保護剤に相当する。保湿剤の成分としてはヒューメクタントhumectantと呼ばれる親水性の吸湿成分がある。低分子ではNMFが代表的で、グリセリンなどが含まれ、高分子ではヒアルロン酸やコンドロイチン硫酸、ヘパリン類似物質などがある。エモリエントemollientは水分蒸散を防いで皮膚を柔らかくするものという意味で、長鎖飽和脂肪酸やセラミド、疑似セラミドなどが含まれる。オクルーシブにはパラフィン、シリコーン、動物皮脂であるラノリンなどがある。パラフィン(paraffin)は石油petroleumから作られる長鎖の炭化水素の混合物(-CH2-)nで、nが小さく、常温で液状のものを流動パラフィン、常温で固形のものをパラフィンワックス(ろう)と呼び、中間のゲル状の半固形のものを白色ワセリンと呼んでいる。ワセリン(Vaseline)は登録商標のため、白色ワセリン、精製白色ワセリンと呼ばれている。国内では生産されていないので、抗酸化剤が含まれた状態で輸入され、各社で精製、あるいは一成分として保湿剤などに混合されている。保湿剤は水溶性と油性の成分を界面活性剤で混ぜ合わせて乳化させたものである(図3)。剤形は乳液状の水中油(O/W)型から、やや硬めのクリーム状の油中水(W/O)型まで多種多様である。界面活性剤で乳化されているので白色で、透明あるいは半透明の油性の保護剤と区別できる。
図3 洗浄剤と保湿・保護剤の模式図

代表的な保湿・保護剤を剤形別、分類別(医薬品、医薬部外品、化粧品)に表にまとめた(表2)。界面活性剤を使用した保湿剤は多種多様な製品が製薬・化粧品会社から販売されている。使用感を重視して、べとつきの少ない水中油(O/W)型の乳液やクリームタイプの保湿剤が多い。水分が蒸発する時の気化熱でさっぱり感があるが、油分が少ないので時間が経過すると乾燥しやすい。また、界面活性剤を使用しているので機能性成分が皮膚の中に浸透して効果を発揮しやすいが、逆に刺激性が増し、感作により接触皮膚炎を誘発しやすい。アトピー性皮膚炎では、保湿剤を使用した方が乾燥をやや改善できることが知られているが、特異な配合成分が保湿に優れているというエビデンスはない9)。また、高齢者のスキンケアについても、特異な洗浄剤や保湿剤の使用が健康な皮膚を維持するのに優れているというエビデンスもない10)。大規模臨床試験には多額の開発費が必要なことや、乾燥の程度を客観的に正確に評価することが難しいことなどが関係していると思われる。
皮膚科医としては界面活性剤を含まず、乾燥を防ぎ、接触皮膚炎も起こしにくい白色ワセリンなどの保護剤を推奨する。乾燥の程度が軽い人や正常な人は、塗りやすく、清涼感があり、べたつきが少ない乳液・クリームタイプの保湿剤でもよいと思われる。ただし、皮膚表面が粗造で、掻破痕により細かい皮膚欠損や皮脂欠乏性湿疹が認められる人は保護剤を使用すべきである。理由は褥瘡や皮膚潰瘍の回復期と同じ状態だからである。皮膚が部分的に欠損して潰瘍となっている人に刺激性の強い界面活性剤入りのクリーム剤を使用する人はいない。白色ワセリンやハイドロコロイドなどの保護剤を使用するのが常識であるが、乾燥皮膚においてはこの常識が浸透していない。保湿剤に含まれる機能性物質の効果を期待したい場合には、やや硬めの保湿剤を使用することもできる。さらに乾燥の程度がひどい場合には、保湿剤を外用した上に保護剤を重層するのも一つの方法であろう。ただし、いつも保護剤がよいというわけではなく、乾燥がほとんどない場合には、べとつかない保湿剤の方が使用感がよい。夏季に白色ワセリンを使い続ければ、毛孔が閉塞されて、図4-4のようなマラセチア毛包炎を起こしやすくなる。この場合には皮膚をよく洗浄して、風通しをよくし、保湿剤を使用しないことが対処法となる。陰股部に糞尿による刺激性皮膚炎がある場合には、陰股部に撥水性軟膏(保護剤)を外用して、ほかの部位にはクリームタイプの保湿剤を使用するなど、部位により使い分けるのも良い。
表2 洗浄剤、保湿・保護剤一覧表

図4 鑑別を要する皮膚疾患
乾燥肌をきたす原因には、3.で述べたように種々の要因がある。特に室内の湿度環境の維持や、過度の入浴、不適切なスキンケアなどの是正などが重要である。また、肝腎疾患や消耗性疾患などが隠れている場合もあるので、医療機関での定期的な経過観察も必要である。皮膚の乾燥がないか、軽度であるにもかかわらず、全身の強い痒みを訴える場合には皮膚そう痒症が考えられる(図2-2)。しかし、背景に全身疾患が隠れている場合もあるので、まずは医療機関を受診させる。それでも問題がない場合には抗ヒスタミン薬の内服や止痒外用剤で様子をみることになる。乾燥肌が悪化して、掻破も加わると皮脂欠乏性湿疹となる(図2-3,4)。ステロイド外用薬と、軽快した場合の白色ワセリンなど保護剤の外用が適切である。
最後に、乾燥肌とそれに伴う痒みの訴えに隠れている皮膚の合併症の臨床写真を供覧する。痒みが強く最も厄介なのは疥癬である。徐々に痒みが強くなり、疥癬結節が増加する(図4-1)。乾燥ではなく、細かい鱗屑が増えるのが特徴である。接触した人に痒みが広がるなどが診断の補助情報となる。体部白癬(図4-2)は陰股間に多く、病変が環状となり、中心は色が濃く周りに赤い丘疹が並ぶのが特徴である。大多数で足や足趾爪に白癬が認められる。カンジダ症(図4-3)は股間や腋窩、乳房下にできやすいが、痒みは強くなく、細かい鱗屑が付着するのが特徴である。発汗が多い夏には躯幹にマラセチア毛包炎(夏季ざ瘡)(図4-4)を生じることがある。洗浄剤でよく洗浄し、風通しの良い服装を心がける。上記の3疾患には、抗真菌外用薬を使用する。
個人あるいは施設利用(入所)者に対してスキンケアを行う場合には画一的であってはならない。皮膚の状態は個人の体調や環境、季節によって日々変化するので、定期的に全身の皮膚を観察して、総合的に皮膚の状態を把握することが重要である。その上で必要な対処方法を考えることになる。常に同じオールマイティな対処方法はない。スキンケアを行う人の総合力が試される。
スキンケアに当たっては、常に皮膚の状態を観察し、それに応じてからだの洗浄方法、程度、回数を決定し、保湿・保護剤の選択や外用量、頻度を決定する。さらに衣類の種類や寝具、空調設備にも配慮する。
自分の40年以上の皮膚科医としての臨床経験から振り返ってみると、現在の日本では、個人、集団(施設)を問わず、過度な清潔志向が強いと感じている。今一度、対象者の皮膚の状態をよく見て、適正なスキンケアを実施していくことが求められる。
1)坪井良治:皮膚科サブノート2019,p1-2,東京医科大学皮膚科学分野 2019.
2)石河晃:保湿剤の使い方.あたらしい美容皮膚科学,p159-163,南山堂,2022.
3)高橋康之:健やかな肌をつくるための保湿化粧品.日皮会誌132(6);1449-1455,2022.
4)Miyamoto M,et al:Skin microbiome of patients with interdigital tinea pedis. J Dermatol,48(7):1106-1108,2021.
5)佐伯秀久,ほか(皮脂欠乏症診療の手引き作成委員会).皮脂欠乏症診療の手引き2021.日皮会誌131(10);2255-2270,2021.
6)岸田功典、ほか.高齢者の入浴・洗浄回数と皮膚の状態に関する調査・研究.西日本皮膚80(1);56-62,2018.
7)松井正:洗浄料.美容皮膚科学改訂2版 p322-326,南山堂,2009.
8)Purnamawati S,et al;The role of moisturizers in addressing various kinds of dermatitis.Clin Med Res 15(3-4),75-87,2017.
9)Sidbury R,et al;Guidelines of care for the management of atopic dermatitis in adults with topical therapies.J Am Acad Dermatol 89(1);e1-e20, 2023.
10)Cowdell F,et al;Hygiene and emollient interventions for maintaining skin integrity in older people in hospital and residential care settings. Cochrane Database of Systematic Reviews 2020. 1(1): CD011377. doi: 10. 1002/14651858. CD011377. pub2.
Contact
![]()
サイトの掲載内容に関するお問い合わせ、製品に関するご不明点などは下記からお問い合わせください
営業時間/9:00~12:00、13:00~16:00
(土・日・祝日・年末年始・夏季休業を除く)
ご返信できますようお客様の氏名、
電話番号、ファクシミリ番号をご記入下さい
お電話の混雑状況によって、つながりにくい場合がございますので、
メールによるお問い合わせも併せてご利用ください。
ご不便とご迷惑をおかけいたしますが、ご理解賜りますようお願い申し上げます。
製品の誤飲・誤食、製品が目に入ったなど、緊急の場合は、すぐ医療機関にご相談ください。
また、製品サポート・Q&Aもご参照ください。