医療法人社団嚆矢会 二階堂歯科医院
二階堂 雅彦
歯周病への効果をうたった歯磨き剤やマウスウオッシュをTV CMで見ない日はありません。また「国民の8割は歯周病」といったフレーズをどこかで聞かれた方もいらっしゃることでしょう。別の言い方をすれば、国民にこれだけ蔓延し、いまだに解決されていない病気が「歯周病」です。ここでは最近次々と明らかになっている歯周病と全身疾患の関わりを含め、医療人として知っていただきたい歯周病の知識をまとめさせていただきました。
歯周病とは細菌により惹起される歯周組織(歯肉、歯根膜、セメント質、歯槽骨)の炎症です(図1)。炎症が歯肉に限局している初期のものは歯肉炎、歯槽骨にまで及んだ状態を歯周炎と呼び、それらの総称が歯周病です(図2)。歯周病が進行すると歯槽骨が徐々に吸収をします。X線で歯槽骨の吸収が50%以上になるものは重度と分類されます。吸収が歯根先端近く(根尖)まで及ぶと歯肉の炎症のみではなく歯の動揺が表れ、さらに放置をすると歯が自然に脱落をします。歯周炎は一本の歯に限局して現れるよりも、同時多発的に多くの歯を脅かします。発見や治療が遅れるとこのような状態から多くの歯を抜歯せざるを得ず、極端な場合は総義歯(または何本ものインプラントに支持された補綴装置*)に移行せざるを得ない状態になります。
* 歯を入れる治療を歯科では補綴治療といいます。
図1 健全な歯周組織と病的な歯周組織
(慶應義塾大学病院KOMPASから許可を得て転載)



図2 歯周病の進行度
(出典:花王:クリアクリーン オーラルケア情報 歯の健康 基本のき 歯肉炎・歯周炎)

歯肉炎
炎症が起こっている状態。歯肉が赤くはれ、歯磨きをはじめ、ちょっとした刺激でも出血しやすくなる。

軽度歯周炎
歯肉の炎症が進み、歯と歯肉の間に「歯周ポケット」と呼ばれる深い溝ができる。歯槽骨の破壊も始まる。

中等度歯周炎
歯肉がブヨブヨにはれ、歯周ポケットからうみが出て、口臭もひどくなる。歯が浮く感じがして、ものがかみにくくなる。

重度歯周炎
歯槽骨はほとんどなく、歯根が露出。歯肉が腫れて痛み、歯はグラグラになって最後には抜けてしまう。
歯周病進行に従い歯周ポケットが深くなり、また歯槽骨の吸収度が高まる
先の「国民の8割は歯周病」というフレーズがありました。では国民の8割がこのように次々の歯を失ってしまうでしょうか?もちろん否です。歯周病に対しては感受性の強いグループが存在します。
かつてヨーロッパの研究者が歯周病の自然史(natural history)(図3)、つまり放っておいたらどうなるのかということについて研究をしました1)。この研究はスリランカで1970年から行われたもので、対象となる人々は茶畑で働く労働者、彼らには当時歯を磨く習慣がなく、また歯科医もおりませんでした。つまり一切の予防介入、治療介入のない状態での歯周病の転帰を15年間調査したものでした。その結果は驚くべきものでした。11%の被検者は歯磨きをしないものですから多量のプラークや歯石が沈着していましたが、骨欠損を伴う歯周病の進行はありませんでした。対極にある8%の被検者は、早期に歯周病を発症、20代から自然に歯が抜けはじめ40代ですべての歯が抜けてしまう被検者まであらわれました。その後同様の報告をする研究がいくつか現れ、最近のシステマティック・レビューでは世界でのこのような重度歯周病の割合は11.2%と報告をされています2)。
図3 歯周病の自然史1)
スリランカで行われた研究。被検者たちを一切の予防、治療介入がない状態で歯周病の転帰を調べた。

■ 全然悪くならない人々(No progession) 11%
歯肉炎の範囲を超える歯周組織の破壊なく、歯の喪失もない。
■ ゆっくり進行する人々(Moderate progression) 81%
わずかな歯周炎の進行
■ 急速に進行する人々(Rapid progression) 8%
20代で歯が抜け始め...
どんどん進行
40代で歯無しに...
歯磨きをしばらくさぼると歯の周りにプラークが沈着します。これは細菌の塊で、きれいな言葉ではありませんが俗には「歯くそ」とも呼ばれます。48時間以上歯ブラシをさぼるとこのプラークにより誰にも歯肉の炎症(歯肉炎)がおきます。この状態を長い間放置すると歯周ポケットが形成され、炎症が次第に拡大をします。歯周ポケット内外の細菌はバイオフィルムを形成します。バイオフィルム(図4)とは細菌塊が作る集合体で、細菌同士のネットワークにより外的要因からの影響を受けにくくなります。身近なものではお風呂の排水口のヌルヌルもまたバイオフィルムであり、たわしで強くこすらないと取れないことからわかるように、歯の周りのバイオフィルムもうがい程度では取り除くことができません。歯周病は細菌により引き起こされる疾患でありながら、抗生物質の効果は一時的にとどまります。これは歯周病細菌がバイオフィルムより守られており、抗生物質が到達しにくいためと考えられています。
バイオフィルムが形成されると歯周ポケットの中に嫌気環境、つまり酸素が届かない状況が生じ、Porphyromonas gingivalis(P.g.菌)に代表される嫌気性菌が増殖し、これらの産生物から骨代謝、軟組織代謝に異常が生じ、歯槽骨の破壊的吸収が起こり始めます。一度これらの環境が形成されると、適切な治療介入がなされないと慢性的に進行し徐々に骨破壊が進行していきます。
図4 バイオフィルムの形成3)



口腔内バイオフィルム デンタルプラーク細菌との戦い 医歯薬出版 2004
深い歯周ポケットとはどういう病態かをイメージしてみましょう。図5は歯周組織の断面です。歯肉と歯根の間には歯周ポケットが形成されその中にはバイオフィルムにより守られた細菌塊があり、その深部には嫌気性菌が凝集しています。歯肉には炎症が起き、免疫反応の過程で様々な炎症性サイトカインが放出されます。炎症性サイトカインは線維芽細胞、リンパ球、マクロファージなどを介して破骨細胞を活性化、その結果歯槽骨の吸収、破壊といった連鎖反応がおきます。
また大臼歯は2本(下顎)、3本(上顎)と副根を有しています。この歯根の分岐部に病変が及ぶ状態は根分岐部病変と呼ばれます。一般的に根分岐部病変が形成されてしまうと、同部の清掃が困難になり予後について注意が必要です(図6)。
次章では治療について述べていきますが、このように歯周ポケットでおきている炎症に起因する連鎖反応を停止させることが治療といえます。
図5 歯周ポケットを起点として、歯肉縁下の細菌により歯肉の炎症が起こり、ついては歯槽骨が吸収する。
一連のイベントが歯と歯肉の界面でおきる。



図6 外科的にアクセスした際の垂直性骨欠損と根分岐病変



歯周病に対しては様々な側面からの治療がされていきますが、現在のところ歯周病治療はすべて対症的療法です。治療の目的は原因であるプラーク、歯石を除去、深い歯周ポケットを排除し嫌気性菌の住めない環境を作り出すことです。基本となる歯周病の治療は3つのステージに分かれて進んでいきます。
図7 歯周組織再生療法の実際



右下犬歯を取り囲むように深い歯周ポケットが認められました。成長因子製剤と骨補填材を使用し、外科的に歯周組織再生を図りました。



治療のX線では6か月後、24か月後と犬歯周囲に骨再生が認められます。
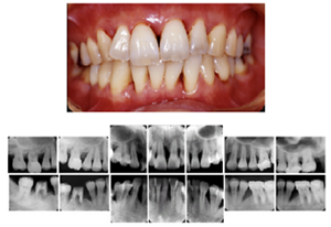
図8 長期メインテナンスの実際



1999年初診。年齢32歳 女性、“はぐきが腫れる”という主訴で来院されました。若い年齢にもかかわらず重度歯周炎にすでに罹患をしていました。



治療後21年。右上第1大臼歯は治療時に抜歯となってしまいましたが、治療完了後は定期メインテナンスを継続し、歯周組織は安定、一本の歯も失わずに現在まで経過しています。
この話題がマスコミ等をにぎわすようになり、今や患者さんが「全身疾患の予防のために歯周病をなおしたい」といらっしゃる時代となりました。
歯周病と全身疾患に関連する研究は、“Periodontal Medicine(歯周医学)”とも呼ばれ、医科、歯科両分野で急速に研究が発展しています。アメリカ歯周病学会ではかつて “Floss or Die!”(フロスをしますか?それとも死んでもいいですか?)という少々刺激的なキャッチフレーズが使われ、国民の注意を喚起しようとしました。
また歯周病治療を行い歯の保存を図ることが医療費全体の削減につながることがわかり、昨年政府が発表した国民皆歯科検診の導入が今後予定されます。
現在のところ歯周病との関係が議論されている全身疾患には以下のものがあります(図9)。
図9 歯周病と関連する全身疾患 (出典:特定非営利活動法人 日本臨床歯周病学会HPより)



本章は筆者が所属する日本臨床歯周病学会が2017年に発刊した「歯周病と全身疾患 最新エビデンスに基づくコンセンサス」を参考にしています6) 。
1990年代より歯周病を有する患者での心血管系疾患発症の相関が報告されるようになってきました。またヒトのアテローム状動脈硬化プラーク内から歯周病原細菌が発見されたことがこの関連の研究の端緒ともなりました。
わが国でも京都大学のグループが滋賀県長浜市で行った長浜スタディで、喪失歯数と動脈硬化の間に相関があることが報告されています7)。喪失歯数は歯周疾患の結果増えることになりますので、間接的に歯周病と動脈硬化の関連を示唆するものであるといえるでしょう。
アテローム状動脈硬化と歯周病の関連メカニズムは、現在まで以下の3つが考えられています。
実際当院の重度歯周病に罹患をしていた患者さんですが、急性症状の対症療法に終始し、根治的治療を促しましたが従わない方がいらっしゃいました。もともと肥満気味の患者さんでしたが、ある日とても痩せて来院されました。聞くと、心筋梗塞を起こししばらく入院されていたとのこと。重度歯周病の放置が心疾患の引き金になったことが示唆された患者さんでした。
図10 歯周病と心血管系疾患関連のメカニズム6)



日本臨床歯周病学会(監修):歯周病と全身疾患―最新エビデンスに基づくコンセンサス.デンタルダイヤモンド社,東京,2017.
図11 歯周病と糖尿病関連のメカニズム6)



日本臨床歯周病学会(監修):歯周病と全身疾患―最新エビデンスに基づくコンセンサス.デンタルダイヤモンド社,東京,2017.
歯周病と糖尿病の関連は多くの歯科医師たちが従来から実感として感じ、また以前から多くの研究がされてきた分野です。
この分野で有名な研究はアメリカ、アリゾナ州に住むピマ・インディアンを対象にした研究です8)。この研究では歯周病の有病率と糖尿病が相関しており、糖尿病患者では歯周病に罹患している比率が約3倍高いことを報告しています。
またわが国においても健康な日本人において歯周組織が健康なものに比べ、糖尿病患者では歯周病の重篤度に比例し、高血糖を含むメタボリックシンドロームをより多く発症する関係が示唆されています9)。
私の父は30代からI型糖尿病を発症しインスリンの自己注射を続けていました。50代に入ると心筋梗塞、眼底出血など様々な合併症を発症、また歯周病も進行し次々と歯を失う父を、歯科医になりたての筆者はなすすべもなく見ていたのを思い起します。
この分野では米山武義先生の素晴らしい実績があります。花王ハイジーンソルーションNo.27「口腔ケアは健康と人間の尊厳を守る! ~40余年の高齢者の診療を振り返って~」を参照ください10)。
この分野では2000年代から歯周病と認知症(アルツハイマー病)の関連について示唆する疫学調査がみられます11)。
また九州大学大学院の武 洲准教授の研究グループは、マウスで歯周病原因菌であるP.g.菌を全身に慢性投与することにより、正常な中年マウスの脳外で産生される脳老人斑成分であるアミロイドβ(Aβ)が脳内に取り込まれ、記憶障害が誘発されることを発表しています12)。
歯周病予防、治療でアルツハイマー型認知症の発症と進行を遅らせることが期待されています。
歯周病に対する理解、また治療は近年長足の進歩を遂げています。私が歯科医師になった1980年代は、歯周病の結果、歯を失った総義歯の患者さんが蔓延し、患者側にも年を取ったら総入れ歯になるんだという一種諦念がありました。しかし今や当院ではご自分の歯を多く有する高齢者が増え、総義歯の治療をすることは極めてまれになりました。また歯周病と全身疾患の関係も次々に明らかになり、最近では大腸がんの患者から口腔由来と考えられるFusobacterium nucleatumが発見されたことが話題になっています13)。口内環境は全身に大きな影響を与えるのです。
歯周病界の課題は前述した10%の歯周病重症化予備軍を早く見つけ、予防、治療に着手することであると思っております。
歯周病はどうしても自己管理が悪いことから発症するというイメージがあります。「若年性糖尿病」の存在が医療人にとっては共通概念になっていますが、同じように遺伝的に運命づけられた「若年性歯周病」の存在も国民の方々に周知し、それらの方々を早く救い上げるシステムを作ることを、長年歯周治療にたずさわってきた歯科医師として切にやみません。
1) Löe H, Anerud A, Boysen H, Morrison E: Natural history of periodontal disease in man. Rapid, moderate and no loss of attachment in Sri Lankanlaborers 14 to 46 years of age. J Clin Periodontol. 1986 May;13(5):431-45.
2) Kassebaum NJ, Bernabé E, Dahiya M, Bhandari B, Murray CJ, Marcenes W: Global burden of severe periodontitis in 1990-2010: a systematicreview and meta-regression. J Dent Res. 2014 Nov;93(11):1045-53.
3) 奥田克爾:口腔内バイオフィルム デンタルプラーク細菌との戦い 医歯薬出版 2004.
4) Sbordone L, Ramaglia L, Gulletta E, Iacono V. Recolonization of the subgingival microflora after scaling and root planing in humanperiodontitis. J Periodontol 1990: 61: 579–584.
5) Axelsson P, Nyström B, Lindhe J: The long-term effect of a plaque control program on tooth mortality, caries and periodontal disease in adults.Results after 30 years of maintenance. J Clin Periodontol. 2004 Sep;31(9):749-57.
6) 二階堂雅彦、築山鉄平編集:歯周病と全身疾患 最新エビデンスに基づくコンセンサス デンタルダイアモンド社 2017.
7) Asai K, Yamori M, Yamazaki T, Yamaguchi A, Takahashi K, Sekine A, Kosugi S, Matsuda F, Nakayama T, Bessho K, the Nagahama Study Group:Tooth Loss and Atherosclerosis: The Nagahama Study. J Dent Res. 2015 Mar; 94(3 Suppl): 52S–58S.
8) Emrich LJ, Shlossman M, Genco RJ: Periodontal disease in non-insulin-dependent diabetes mellitus. J Periodontol. 1991 Feb;62(2):123-31.
9) Morita T, Yamazaki Y, Mita A, Takada K, Seto M, Nishinoue N, Sasaki Y, Motohashi M, Maeno M: A cohort study on the associationbetween periodontal disease and the development of metabolic syndrome. J Periodontol. 2010 Apr;81(4):512-9.
10) 米山武義:口腔ケアは健康と人間の尊厳を守る!~ 40余年の高齢者の診療を振り返って~ 花王ハイジーンソリューション 2022.
11) 石田直之、吉成伸夫、松下健二、石原祐一:歯周病はアルツハイマー病を悪化させる.日歯周誌 60(3):147-152, 2018.
12) Nie R, Wu Z, Ni J, Zeng F, Yu W, Zhang Y, Kadowaki T, Kashiwazaki H, Teeling JL, Zhou Y: Porphyromonas gingivalis Infection Induces Amyloid-βAccumulation in Monocytes/Macrophages. J Alzheimers Dis. 2019;72(2):479-494.
13) Abed J, Maalouf N, Manson AL, Earl AM, Parhi L, Emgård JEM, Klutstein M, Tayeb S, Almogy G, Atlan KA, Chaushu S, Israeli E, Mandelboim O,Garrett WS, Bachrach G: Colon Cancer-AssociatedFusobacterium nucleatum May Originate From the Oral Cavity and Reach Colon Tumors viathe Circulatory System. Front Cell Infect Microbiol. 2020 Aug 7;10:400.
Contact
![]()
サイトの掲載内容に関するお問い合わせ、製品に関するご不明点などは下記からお問い合わせください
営業時間/9:00~12:00、13:00~16:00
(土・日・祝日・年末年始・夏季休業を除く)
ご返信できますようお客様の氏名、
電話番号、ファクシミリ番号をご記入下さい
お電話の混雑状況によって、つながりにくい場合がございますので、
メールによるお問い合わせも併せてご利用ください。
ご不便とご迷惑をおかけいたしますが、ご理解賜りますようお願い申し上げます。
製品の誤飲・誤食、製品が目に入ったなど、緊急の場合は、すぐ医療機関にご相談ください。
また、製品サポート・Q&Aもご参照ください。