米山歯科クリニック
米山 武義
新型コロナ禍、近年の出生者数は減少し続け、わが国は高齢化だけでなく少子化という深刻な人口問題に直面しています。実際のところ2021年生まれの出生数は全国で811,604人で統計開始以来最少になったことが、厚生労働省の人口動態統計(2022年6月発表:概数)で明らかになりました。このため我が国は著しい少子高齢化というこれまで経験したことのない社会に突入すると予想されます。実際、私が専門領域とする歯科についても診療所に来院される患者さんの高齢化が確実に進んでいます。そして高齢化に伴い、多くの患者さんは複数の基礎疾患を有し多剤を服用、薬の影響によると思われる口腔乾燥や全顎にわたる歯肉の炎症、根面カリエスの問題を抱えています。ふと思うことは、この方々が通院できなくなったら、どのような口腔環境に変化していくのだろうかと。食生活はどのように変化していくのだろうかと。我々は歯を残すことが歯科医師、歯科衛生士のもっとも重要な使命であると教育され、そのように実践してきました。そして歯の残存数について目覚ましい成果を上げています。しかし、問題は歯の数ではなく、どのような状態で歯が存続し、機能しているかであります。私自身、歯科訪問診療で要介護高齢者の劣悪な口腔環境にしばしば出会うことがあります。一方、90歳を迎え、歯周病の予防管理のために長年にわたって定期的に当院に通院されている方で健全な28本の歯と歯肉を維持している方が複数現れています。口腔環境、口腔状態が国民の健康格差を生じさせているのではないかと思われる事例が増えてきました。今後は歯と口腔の働きをさらに解明し、健康寿命延伸のために活用する時代を迎えると思います(図1)。
本稿では口腔ケアの持つ意義について、多職種の方々と考えてみたいと思います。なお、歯科職が診療の一環として患者さんに関わるときは、口腔健康管理(口腔衛生管理、口腔機能管理)とし、多職種で関わり口腔状態を維持・改善する際は「口腔ケア」の方が適切と考え、使い分けることとします。
図1 歯と口腔の役割と働き



歯と口腔の働きは超高齢社会の中で患者さんの健康と尊厳を守る目的と手段になります。
「口腔は看護の質をよく表す」と述べた看護師ヴァージニア・ヘンダーソンの言葉は看護教育の分野では余りに有名です1)。それだけ口腔は昔から顧みられていませんでした。「口は健康(病気)の入口、魂の出口」と言われるように、口腔は肉体および精神の健康と密接に関係しています。しかしその生命活動の源である口腔にあまり注意が向けられない時代が長く続きました。そして今も高齢者の口腔衛生状態をはじめとした口腔状態に十分関心が払われているとは言い難い現実が身近にあります。長い間、在宅医療に携わる中、口腔衛生状態が低下し、歯周病をはじめとする口腔感染症がみられる多くの患者さんに出会います。さらに飲み込みに問題があり、発熱を繰り返す患者さんにも遭遇します。このことは、口腔機能の低下に加え口腔内に感染源があり口腔内外に感染症を引き起こしている患者さんが普遍的に存在することを示唆しています(図2)。
一般的に、寝たきりの高齢者は口腔衛生状態が劣悪であるといわれていますが、特別養護老人ホームに入所する要介護高齢者の咽頭細菌数と発熱傾向について実態調査をしたところ、寝たきり度が高いほど発熱傾向が強く、咽頭部の総細菌数が多いという実態が示されました2)。一方、別の特別養護老人ホームにおいて、5カ月間にわたり入所者を2群に分け、口腔衛生管理(口腔健康管理)群では積極的な口腔清掃を行い、対照群は従来どおりの口腔清掃にとどめることで、口腔衛生管理の効果を歯周病学的、細菌学的に検討しました3,4)。その結果、期間中の歯肉炎は、口腔衛生管理群で有意に低下しました(p<0.01)。また咽頭部から細菌の採取を行い、盲検下で総細菌数の比較を行ったところ対照群では2カ月目以降徐々に細菌数が増加していったのに対し、口腔衛生管理群では調査期間中減少し続け、5カ月目には開始前の約10分の1になりました。つまり口腔衛生に関心を持たなければ、限りなく口腔および咽頭は細菌をはじめとする微生物の温床となり呼吸器疾患をはじめとする感染症発症のリスクと温床となり得ると予想されます。一方、定期的に口腔衛生状態の維持改善を図れば口腔から咽頭にかけての細菌数だけでなく、歯肉の炎症は確実に改善していく。大切なことは継続であり、意識を向け続け、実践することによって口腔内の健康状態を維持、増進でき、全身の健康管理に寄与しうる可能性があるということです。
図2 歯周ポケット内の細菌と歯周ポケット内縁上皮の関係を示す顕微鏡拡大写真



歯周ポケットの中を顕微鏡で拡大した写真です。細菌(微生物)と生体のせめぎ合いが起こっています。生体防御の最前線です。
肺炎は誤嚥性肺炎とそれ以外の肺炎を合わせると日本における死因の上位に位置しています。一方、肺炎の発症率は加齢とともに増加し、肺炎で死亡する人の大部分は65歳以上の高齢者であり、年々増加傾向にあります。また肺炎で入院する高齢患者のほとんどが誤嚥性肺炎という報告があり、口腔の管理が本疾患予防の要となる可能性が示唆されます(図3)。また肺炎のために入院を余儀なくされ、長期の安静臥床を続ける間に廃用症候群が進行し、様々な合併症を引き起こし、結果的に要介護状態となる危険性もはらんでいます。すなわち、肺炎は高齢者の罹病率や死亡率を上昇させ、医療費や介護費用を増大させる大きな要因であるといえます。
1990年代に全国11カ所の特別養護老人ホーム入所者を対象として、口腔ケア(口腔衛生管理)による誤嚥性肺炎予防について客観的な検討を試みる研究がなされました5,6)。まず施設ごとに入所者を、介護者による毎日の口腔清掃に加え、週に1回歯科衛生士による専門的、機械的な口腔清掃を行う群(口腔ケア群)と、入所者本人による口腔清掃ないしは介護者による従来どおりの口腔清掃にとどめる群(対照群)とに無作為に分け、2年間の発熱日数、肺炎による入院、死亡者数を比較しました。その結果、肺炎を発症した人は、口腔ケア群21名(11%)、対照群34名(19%)であり、対照群のほうが有意に多く発症していました(p<0.05)(図4)。とりわけ、肺炎による死亡者数をみると口腔ケア群では14名(7%)でしたが、対照群では30名(16%)と有意に多く(p<0.01)、発症した肺炎もより重度化していました(表)。この研究成果には国内外から高い関心が寄せられ、医療と介護の現場において口腔の衛生管理の重要性に光が当たる大きなきっかけになりました。一方、残存歯数の増加に伴う細菌性付着物の増加により誤嚥性肺炎の発症率が今後、徐々に増加するのではないかと危惧しています。
図3 年代別の入院肺炎症例に占める誤嚥性肺炎の割合



肺炎で入院される患者さんの多くが誤嚥性肺炎であり、後期高齢者以降、その割合が急激に増加していることが、寺本氏らの調査で報告されている。
図4 2年間の肺炎発生率



2年間にわたる口腔衛生管理としての口腔ケアによって対照群に比較し有意に肺炎の発症が抑制されている。



表 口腔ケア群と対照群の比較
2年間の発熱発生者、肺炎発症者および肺炎による死亡者数の比較。口腔ケアとして介入すると肺炎の重度化が抑制される可能性が示唆された。
我々にとって最も身近な体液は唾液です。あまりに身近なのでその存在を意識することも感謝することもありません。しかしこの唾液が減少したり、口腔が乾燥することで様々な障害が出てきて苦しんでいる患者さんが近年多くなってきました。唾液は1日におよそ0.5ℓから1.5ℓ分泌されます。唾液が作られる唾液腺は口腔内に複数あって唾液導管を通って口腔内に分泌されます。よく知られた唾液腺には「耳下腺」「顎下腺」「舌下腺」がありますが、口唇や口蓋に多数分布する「小唾液腺」も重要な役割を担っています。唾液の分泌は自律神経によってコントールされており、サラサラの漿液性の唾液は主に副交感神経が優位にあるときに分泌されます。つまりリラックスしているときに分泌されやすく、緊張している時やイライラしているときにはネバネバの唾液が多く分泌されます。サラサラの唾液は食事時に多く分泌され、唾液アミラーゼ(プチアリン)等の消化酵素が多く含まれるとともに、食べ物を湿らせて飲み込みやすくする働きがあり、口腔内を洗浄して中性に保つ性質があります。一方、ねばねばした唾液はムチンという成分が含まれ、この成分は、細菌を絡め取り体内への侵入を防ぐほか、口腔粘膜を覆うことにより粘膜が傷つくことを防いだり、粘膜の保湿の働きを担っています。唾液は健康状態や精神状態を示す指標となりますので、社会の中でもっと、関心が払われるべきであると思います。
超高齢社会において義歯治療とその後のケアは非常に重要な意味を持ちます。
まず①義歯を装着することで咀嚼力をアップし、栄養摂取を飛躍的に高めることができる ②適合性の良好な義歯によって、安全な嚥下を確保できる ③義歯によって食べる楽しみを増すことができる ④義歯によってオーラルフレイルそしてその先にある口腔機能低下症の予防につなげられる ⑤義歯を装着することで顔貌を良好に保つことができ、対人的な関係を維持する上で重要な意味を持つ ⑥リハビリテーションを順調に進めるうえで、重要な支持療法になる。以上の他にも義歯のもつ役割は多岐にわたります。しかし現実的には“入れ歯”ということで軽んじられてしまう傾向があったことは否めません。義歯は適合性がいいだけでなく、口腔周囲筋と調和がとれていないと義歯本来の役割をなしません。また義歯の衛生管理がなされていなければ口腔細菌の温床になり、肺炎等の感染症の原因を作ってしまいます。本来義歯を装着すべき状態にもかかわらず装着していない方より義歯を装着している人のほうが統計学的にも有意に肺炎の発症が抑制されることが示唆されました(図5)6)。このように義歯はQOLの向上だけでなく、疾病予防と生命を維持するために重要な意義を持っています。また義歯治療、義歯ケアほど、介入前後で機能の改善の変化が大きい医療分野はありません。
図5 無歯顎者の肺炎発症率



義歯が装着され、口腔の機能が維持されている方のほうが、肺炎の発症率が低い。このことから口腔機能の肺炎予防効果が示唆された。
口腔のケアは誤嚥性肺炎を予防する以外にも精神的活動の維持や改善をもたらす効果が示されています。とくに認知機能に関しては口腔のケア群においてその経時的な低下が、抑制されたという報告があります(図6)。とくに介入してから初期の期間(3〜6ヶ月)における効果が顕著であり6)、認知症が軽度の人の方が、より効果が高いことが報告されています。認知機能の評価(値)だけでなく実際、口腔ケアを始めてから施設利用者の顔が目にみえて明るくなったという報告を聞くことが多いです。さらに、口腔ケアを始めてから施設の行事に積極的に参加するようになったという前向きの変化も聞かれます。口腔という場所は他人に触れられたくない場所No.1ですがこの口腔にやさしく触れ、やさしい言葉をかけると患者さんの心が開いてくることを経験します。歯科治療というと誰もが敬遠してしまい身構えてしまいますが、口腔ケアで口腔を気持ちよくさっぱりさせると笑顔が出てきます(図7,8)。誠に不思議な器官です。全身の中で自律神経の支配を強く受けている場所で、交感神経と副交感神経の両極端の変化が出ます。診療ユニットの上でガムマッサージをやさしく施術しますと寝てしまう方がいます。これらのことから、口腔ケアによる認知症の方々への対応は感染症等の疾病予防だけでなく、認知機能の維持改善にも役立つかもしれません。
図6 期間中の認知機能評価(MMSE)の変化



口腔ケアとしての介入により、認知機能(MMSE)の低下が抑制された。
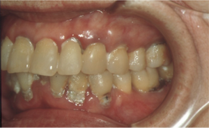
図7 器質的口腔ケアの効果(術前)



70歳代、女性、多量のプラークと著しい発赤・腫脹・口臭が見られた。口腔ケアを開始する前の口腔衛生状態と歯肉炎の状態。多量の歯垢(バイオフィルム)と進行した歯肉炎が認められる。
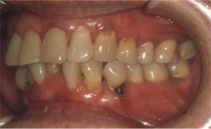
図8 器質的口腔ケアの効果(3か月後)



口腔ケアとしての介入により、認知機能(MMSE)の低下が抑制された。開始3か月目。基礎疾患(高血圧症・糖尿病)があるにもかかわらず、顕著な歯肉炎の改善がみられる。食欲も増し、笑顔も増加。口腔ケアの効果を施設職員と驚きをもって確認。
終末期における口腔ケアは、感染症予防や食支援としての役割があります。緩和ケアとしての関わり、納得のいく人生の総仕上げを演出するための関わりに重点が置かれます。終末期においては口内炎等の口腔粘膜の病変が発症し易く、痛みで食事が摂れなくなったり、話ができなくなったりし、衰弱が進むケースもあります。たかが口内炎といっても終末期においては、絶対に無視できない疾病であり、精神面や栄養管理の視点から予防的に対策をとることが大切です。そのため終末期ケアにおいては痛みのコントロールが重要な課題になるので、口腔ケアの重要性はますます高くなると予想されます。今後とも「口腔は人生の終末に近づくほど大切になる」と啓発し、社会の中で口腔ケアとして終末期まで関わり続けることの意義を説き続けたいと思います。
1)ヴァージニア・ヘンダ−ソン:看護の基本となるもの. P14.日本看護協会出版会. 1995.
2)厚生省 平成10年度老人保健強化推進特別事業 社会福祉施設等入所者口腔内状態改善研究モデル事業報告書:浜松市保健福祉部保健福祉総括室健康増進課口腔保健医療センター編,静岡,1999.
3)米山武義,相羽寿史,太田昌子ほか:特別養護老人ホーム入所者における歯肉炎の改善に関する研究,日老医誌 34:120-124.1997
4)弘田克彦,米山武義,太田昌子ほか:プロフェッショナル・オーラル・ヘルス・ケアを受けた高齢者の咽頭細菌数の変動,日老医誌34:125-129. 1997
5)Yoneyama, T., Yoshida, M., Matsui, T. et al. : Oral care and pneumonia, Lancet. 354:515. 1999.
6)米山武義、吉田光由、佐々木英忠、ほか.:要介護高齢者に対する口腔衛生の誤嚥性肺炎予防効果に関する研究、日歯医学会誌20:58~68. 2001
Contact
![]()
サイトの掲載内容に関するお問い合わせ、製品に関するご不明点などは下記からお問い合わせください
営業時間/9:00~12:00、13:00~16:00
(土・日・祝日・年末年始・夏季休業を除く)
ご返信できますようお客様の氏名、
電話番号、ファクシミリ番号をご記入下さい
お電話の混雑状況によって、つながりにくい場合がございますので、
メールによるお問い合わせも併せてご利用ください。
ご不便とご迷惑をおかけいたしますが、ご理解賜りますようお願い申し上げます。
製品の誤飲・誤食、製品が目に入ったなど、緊急の場合は、すぐ医療機関にご相談ください。
また、製品サポート・Q&Aもご参照ください。